• Haberler
  • Eğitim
  • OMÜ'lü bilim insanları yeni bir parazit türü keşfetti

OMÜ'lü bilim insanları yeni bir parazit türü keşfetti

Ondokuz Mayıs Üniversitesinde (OMÜ) bilimsel adı 'Chondrostoma Angorense' olan karaburun balıklarında dünyada ilk kez yeni bir parazit türü keşfedildi. Parazite, Fen-Edebiyat Fakültesi Hidrobiyoloji Ana Bilim Dalı Başkanı Prof. Dr. Nazmi Polat'a hitaben M

Samsun Lâdik Gölünde yakalanan karaburun balıklarında OMÜ Veteriner ile Fen Edebiyat Fakültesinde görevli öğretim üyeleri tarafından dünyada ilk kez yeni bir parazit türü daha keşfedildi. Veteriner Fakültesi Su Ürünleri Hastalıkları Anabilim Dalı Öğretim Üyesi Doç. Dr. Gökmen Zafer Pekmezci, dünyada ilk kez karaburun balıklarında keşfettikleri yeni parazit türünün kayıtlarının Parazitoloji alanında akademik prestiji yüksek bir araştırma dergisi olan “Parasitology International” isimli derginin 2021 yılı Ağustos sayısında yayınlanan bilimsel makale sayesinde bilim dünyasıyla paylaşıldığını ifade etti.

Parazit türüne “Myxobolus Polati” adı verildi
Araştırıcılar dünyada ilk kez bu balık türünde keşfedilen miksozoa grubundaki canlıya, Türkiye’de balıkçılık ve su ürünleri alanlarında bir fiil 44 yıllık hizmeti ve emeği olan, çok sayıda lisans ve lisansüstü öğrenci ile farklı üniversitelerde görev yapan bilim insanlarının yetişmesini sağlayan, OMÜ Fen Edebiyat Fakültesi Biyoloji Bölümünün duayen hocası Prof. Dr. Nazmi Polat’ın adının onurlandırılması ve bilim dünyasında ölümsüzleştirilmesi için “Polati” tür adı verdiklerini ve bu keşfedilen canlının adının “Myxobolus Polati” tür adıyla bilim dünyasına kaydedildiğini söylediler.

“Adımın yeni türe verilmesi beni ödüllendirdi”
Adının yeni parazit tütüne verilmesini değerlendiren Fen-Edebiyat Fakültesi Hidrobiyoloji Ana Bilim Dalı Başkanı Prof. Dr. Nazmi Polat, “Bir bilim insanın yeni bir türe isminin verilmesi kadar o insanı onurlandıracak, gururlandıracağı ve o işten haz duyacağı başka bir şey olmaması gerekir. Ben de bugün bu duyguları yaşıyorum. Veterinerlik Fakültesi ve Fen-Edebiyat Fakültesi Biyoloji Bölümündeki arkadaşlarımızın ortak bir çalışması olarak Ladik Gölü’nde yaşayan bir balık türünde bulunan canlı, ilk defa keşfedilmiş ve isimlendirilmiştir. Bu ismin OMÜ öğretim elemanları tarafından verilmesi işin daha da önem kazanmasına vesile oldu. Vefa Türk insanın yaşattığı bir gelenektir. OMÜ’lü olmak, Atatürk’ün şehrinde yaşamak bizi ayrıca onurlandırmıştır. Emeği geçen arkadaşlarımıza teşekkürlerimi sunuyorum” dedi.

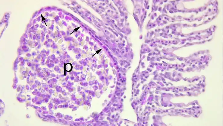
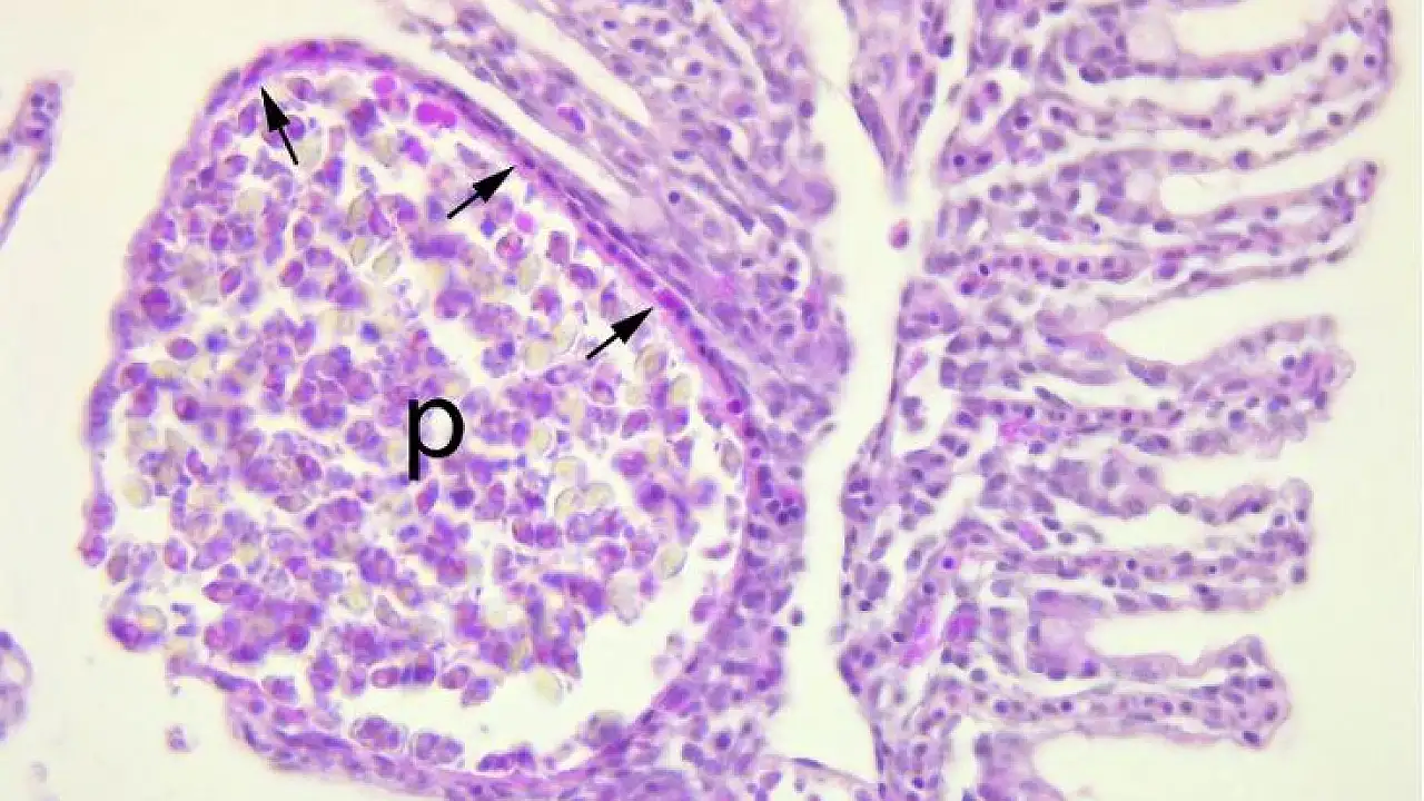
“Paraziti balığın solungaçlarında bulduk”
Myxobolus Polati adını verdikleri paraziti balığın solungaçlarında bulduklarının altını çizen OMÜ Veteriner Fakültesi Su Ürünleri Hastalıkları Anabilim Dalı Öğretim Görevlisi Doç. Dr. Gökmen Zafer Pekmezci, “Uzun zamandır yürütmüş olduğumuz bilimsel çalışmalarda dünyada ilk kez Samsun Ladik Gölü’nde Chondrostoma Angorense adı verilen bölgemize has bir balık türünde ilk kez dünyada bir parazit türü keşfettik. Biz bu paraziti balığın solungaçlarında bulduk. Solungaçlarda kistler şeklinde beyaz kistler oluşturmaktadır. Daha sonra bu parazitin morfolojik, histopatolojik ve monoküler analizleri sonucunda bu parazitin dünyadaki keşfini gerçekleştirdik. Bu tür çalışmalar uzun süredir devam ediyor. Bu parazite isim verirken de mesleğe 43 yılını vermiş Duayen Hocamız Prof. Dr. Nazmi Polat’ın da onurlandırılması için ‘Myxobolus Polati’ adını verdik” diye konuştu.

“Polati ile birlikte bulduğumuz parazit sayısı 6 oldu”
Daha önce de 5 parazit türü keşfettiklerini vurgulayan Doç. Dr. Gökmen Zafer Pekmezci, “Bilimsel çalışmalarımız devam ediyor. OMÜ’nün bilimsel alanda adının duyulmasından büyük mutluluk duyuyoruz. 2013 yılından beri çalışmalarımız yoğun bir şekilde devam ediyor. Myxobolus Polati 6. yeni tür parazitimizdir. Daha önceden de Myxobolus Anatolicus, Myxobolus Samsunensis, Myxobolus Karaeri, Myxobolus Cakmaki ve Myxobolus Ekingeni gibi türleri de bulmuştuk. Son keşfettiğimiz tür de dünyada ilk kez farklı bir balık türünde keşfedildi. Bununla ilgili bilimsel çalışmalarımız devam ediyor. Yeni türler de keşfedeceğimizi düşünüyorum” şeklinde konuştu.
Yeni parazit türünün keşfedildiği bu araştırmada OMÜ Veteriner Fakültesi Su Ürünleri Hastalıkları Anabilim Dalından Doç. Dr. Gökmen Zafer Pekmezci, Doç. Dr. Banu Yardımcı, Parazitoloji Anabilim Dalından Doç. Dr. Cenk Soner Bölükbaş, Fen Edebiyat Fakültesi Biyoloji Bölümünden Prof. Dr. Savaş Yılmaz ve Dr. Melek Özpıçak ile A.B.D. Oregon State Üniversitesi’nden Doç. Dr. Stephen Atkinson yer aldı.
Chondrostoma Angorense isimli tatlı su balık türü Türkiye'nin kuzeyindeki Sakarya ve Kızılırmak Nehri havzalarında yaşayan sazangiller ailesinden Türkiye’ye özgü bir balık türü olarak dikkat çekiyor.

İHA

WhatsApp İhbar Hattı
05459031060
ÇEKİN, GÖNDERİN, YAYINLAYALIM!

Bakmadan Geçme