KARADENİZ'DE YENİ BİR AMELİYAT TEKNİĞİ UYGULANDI

ORTOPEDİ VE TRAVMATOLOJİ UZMANI PROF. DR. NEDİM KARAİSMAİLOĞLU: 'TÜRKİYE'DE SON 6 AYDA UYGULANDI, KARADENİZ'DE BİR İLK OLDU'

Skolyoz (omurga eğriliği) hastalığı tedavisinde geliştirilen yeni bir ameliyat tekniği, Karadeniz'de “ilk kez” Samsun'da Medical Park Hastanesi’nde uygulandı. 
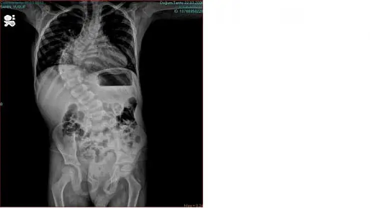
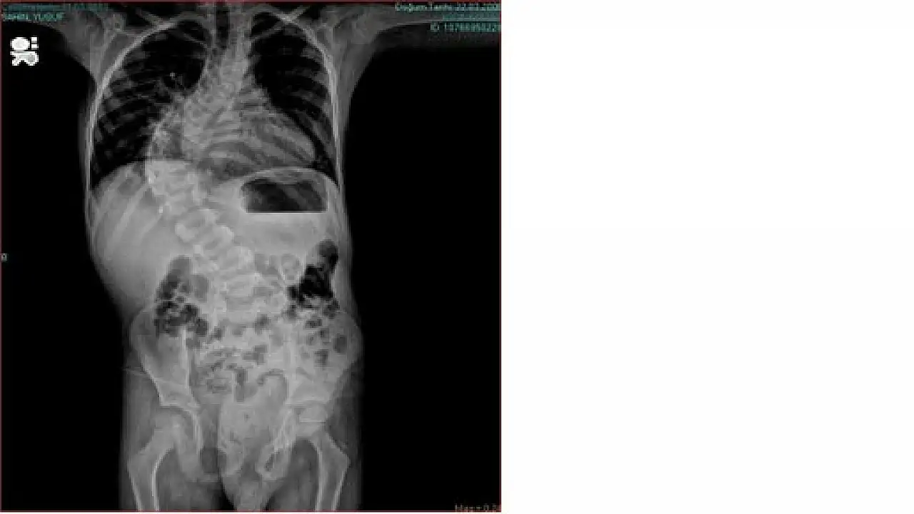
Samsun'da Medical Park Hastanesi’nde skolyoz (omurga eğriliği) tedavisi gören 7 yaşındaki Yusuf Şahin, Türkiye'de yeni yapılmaya başlanan, omurga eğriliği için yeni geliştirilen ameliyat tekniği ile operasyona alındı. Ortopedi ve Travmatoloji Uzmanı Prof. Dr. Nedim Karaismailoğlu tarafından başarılı bir şekilde gerçekleştirilen 4 saatlik bir operasyon ile 20 cm uzunluğunda "uzayan platin" adı verilen bir alet takıldı. 
Karadeniz’de bir ilk olan ve Samsun Medical Park Hastanesi’nde yeni başlanan skolyoz ameliyat tekniği hakkında bilgi veren Ortopedi ve Travmatoloji Uzmanı Prof. Dr. Nedim Karaismailoğlu, omurga eğriliği tedavisi gören hastaların her 6 ayda bir, 6 saat süren ameliyata girdiğini, yeni geliştirilen bu yöntem ile 4 saatlik operasyon sonucunda hastaların sağlıklarına kavuştuklarını söyledi. Bu tekniğin Türkiye'de son 6 aydır uygulandığını, Karadeniz'de bir ilk olduğunu ifade eden Prof. Dr. Nedim Karaismailoğlu, “Bu yeni yöntem hem çocuğun büyümesine müsaade ediyor hem eğriliğin giderek azaltılmasını müsaade ediyor. Tekrar ameliyata gerek olmadan 3 ayda bir hasta geliyor. Bir makine yardımı ile içteki parçanın uzaması sağlanıyor ve çocuğun konforu artıyor. Bu yöntem, hastalar için umut ışığı oldu" dedi.

untitled-3.20130617152942.jpg

 

 

untitled-2.20130617152903.jpg

WhatsApp İhbar Hattı
05459031060
ÇEKİN, GÖNDERİN, YAYINLAYALIM!

Bakmadan Geçme