• Haberler
  • Sağlık
  • 'Skolyoz kız çocuklarında erkeklere göre 4 kat daha fazla görülüyor'

'Skolyoz kız çocuklarında erkeklere göre 4 kat daha fazla görülüyor'

Skolyozun kız çocuklarında erkeklere göre 4 kat daha fazla görüldüğüne değinen Dr. Öğr. Üyesi Mehmet Akif Çaçan, 'Bir eğriliğin skolyoz olabilmesi için en az 10 derece ve üzerinde olması gerekir. İlk tanıda yaş ne kadar küçük ve eğrilik ne kadar büyükse i

Dr. Öğr. Üyesi Mehmet Akif Çaçan, skolyoz hastalığı hakkında bilgiler verdi. Dr. Öğr. Üyesi Mehmet Akif Çaçan, omurgaya önden bakıldığında bir cetvel gibi düz olması gerektiğini belirterek, “Önden bakıldığında yana doğru gelişen omurga eğriliklerine skolyoz denir. Bir eğriliğin skolyoz olabilmesi için en az 10 derece ve üzerinde olması gerekir. Skolyozda yana doğru eğriliğin yanında rotasyon da oluşur yani omurga kendi etrafında döner. Bu da göğüs kafesinde asimetriye neden olur. Skolyozdaki en önemli sorunlardan birisi eğriliğin ilerleyici olmasıdır. İlk tanıda yaş ne kadar küçük ve eğrilik ne kadar büyükse ilerleme ihtimali o kadar büyüktür” diye konuştu.

"Yanlış çanta taşımak omurga eğriliğine neden olur"
Dr. Öğr. Üyesi Çaçan, genel anlamda iki tip skolyozun olduğuna işaret ederek şöyle devam etti: "İlk olarak yapısal olmayan skolyozda omurganın yapısında herhangi bir sorun yoktur, eğriliğe neden olan başka bir sorun vardır. Sorunlar arasında bel fıtığı, tek taraflı bacak kısalığı, kalça eklem sorunları, tümör ve yanlış çanta taşıma gibi durumlar vardır. Eğriliğe sebep olan durum tedavi edildiğinde eğrilik de düzelir. Yapısal olan skolyozu inceleyecek olursak; omurganın yapısında (kemik, eklem ve kas) bozukluk mevcuttur. Eğrilik kalıcıdır, düzelme görülmez. Yapısal skolyozu genel olarak 3 tipe ayırabiliriz. İlk olarak konjenital skolyoz yani doğuştan olan skolyozda genellikle ciddi bir eğrilik söz konusudur. Buna gebelikte alınan bir ilaç, radyasyon neden olabileceği gibi genetik bozukluk ya da folik asit eksikliği de neden olabilir. İkinci skolyoz tipi ise nöromüsküler skolyozdur. Omurgayı dengede tutan kaslardaki rahatsızlık sonucu omurganın eğrilmesi ile oluşur ve hızlı ilerler. Son skolyoz tipi de idiopatik skolyozdur. En sık görülen skolyoz tipidir, toplumda yüzde 80 ila 90 oranında görülür fakat sebebi belli değildir. Diğer olası nedenlerin dışlanmasıyla tanı konur. Bu eğrilikler daha çok ergenlikten önce başlar ve ilerleyicidir. Kız çocuklarında erkeklere göre 4 kat daha fazla görülür."

"Göğüste oluşan asimetri ile kendini belli eder"
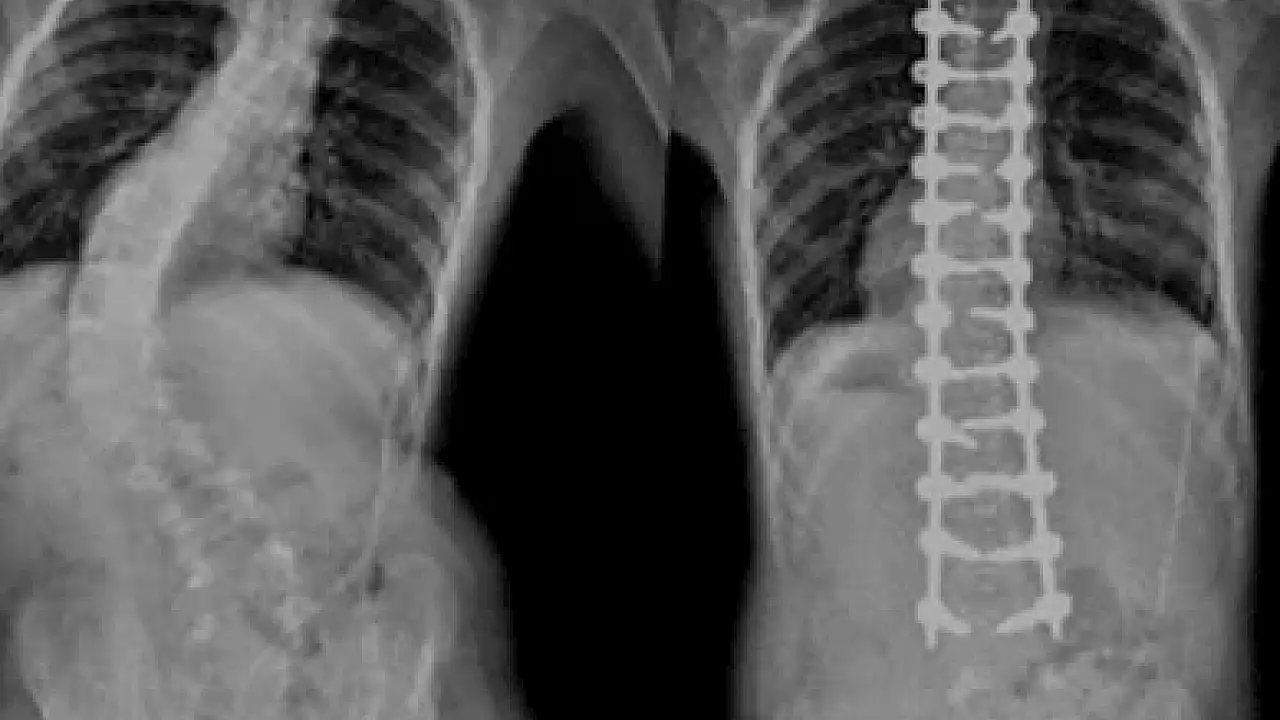
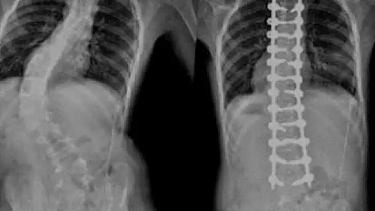
Doğru tanı için omurganın tamamına röntgen çekilmesi gerektiğine dikkat çeken Doç. Dr. Çaçan, “Genellikle göğüste asimetri oluşur, arka taraftan omurgaya bakıldığında bir omuz diğerine kıyasla daha düşük durur. Bir taraftaki kürek kemiği daha belirgindir ve bel kuşağında asimetri görülür. Sırttaki asimetri kişi öne eğildiğinde daha da belirginleşir ve eğriliğin büyüklüğü röntgen üzerinde yapılan ölçümlerle belirlenir. Ölçümlere göre skolyozun hangi tip olduğu anlaşılarak tanı konulur. Hastanın ergenlikten sonra iskelet sisteminin olgunlaşmasıyla birlikte ilerlemesi durur” ifadelerini kullandı.

"Eğriliğin ilerlemesini yavaşlatmak için korse kullanın"
Doç. Dr. Mehmet Akif Çaçan, skolyoz tedavisinin kişiye özel planlandığını ifade ederek şu bilgileri verdi: "Skolyoz tedavisi eğriliğin tipine, büyüklüğüne ve hastanın yaşına göre değişkenlik gösterir. Günümüzde skolyoz tedavisinde cerrahi dışı ve cerrahi yöntemler kullanılır. Cerrahi olmayan yöntemler daha çok eğrilik miktarı az olan hastalarda eğriliğin ilerlemesini yavaşlatmak amacıyla kullanılır. Bunlar arasında en önemlileri korse ve egzersizdir. En sık görülen idiopatik skolyozda 20 derecenin altındaki eğrilikler çoğu zaman sadece takip edilir. Daha büyük ve ilerleme riski olan eğriliklerde korse kullanılır. 40 derecenin üzerindeki eğrilikler genellikle cerrahi ile tedavi edilir. Konjenital yani doğuştan oluşan skolyozda çoğu zaman cerrahi tedavi gerekir. Cerrahide de füzyonlu ya da füzyonsuz yöntemler mevcut olup bunlar da hastanın ihtiyacına göre uygulanır."

İHA

 

WhatsApp İhbar Hattı
05459031060
ÇEKİN, GÖNDERİN, YAYINLAYALIM!

Bakmadan Geçme